党建之窗
>>更多党的二十届四中全会公报一图速览
市医院召开深入贯彻中央八项规定精神学习教育总结会议
市医院赴两当县人民检察院开展党建共建暨巡回医疗活动
市医院与陇南市森林消防支队签订合作协议,共促应急救援与医疗深度融合
市医院召开党纪学习教育总结会议
习近平:在学习贯彻习近平新时代中国特色社会主义思想主题教育工作会议上的讲话
市医院党委举行以课代训 对新一届支部委员开展党务工作培训
市医院党委举行以课代训 对新一届支部委员开展党务工作培训
市医院召开党建工作专题会,党委书记讲党课
〖抓执行促落实〗市医院西院区党支部携手北山社区党支部开展共筑健康家园义诊活动
市医院党委理论学习中心组召开第六次集体学习会
〖抓执行促落实〗市医院召开党风廉政建设暨行业作风建设工作专题会
“三抓三促”市医院机关党支部在行动
市医院党委召开2022年度民主生活会
市医院党委理论学习中心组召开学习会
〖医线前沿〗 市医院功能检查科成功开展多例脏器超声造影检查技术
来源:时间:2021-09-11点击:3466次
【字体:大 中 小】
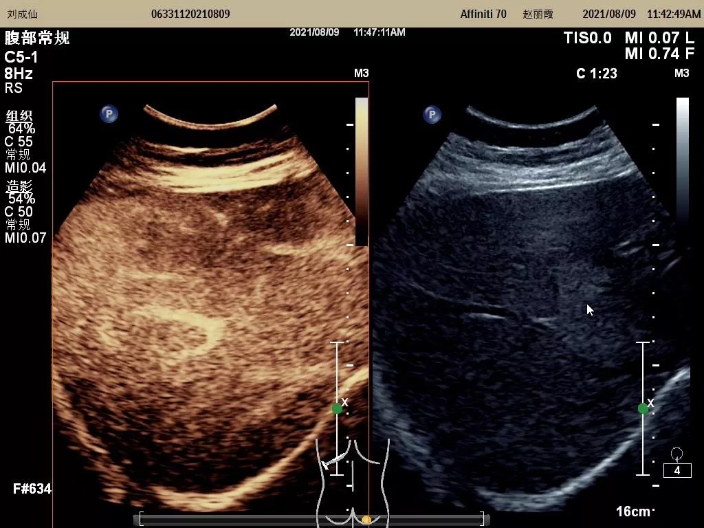
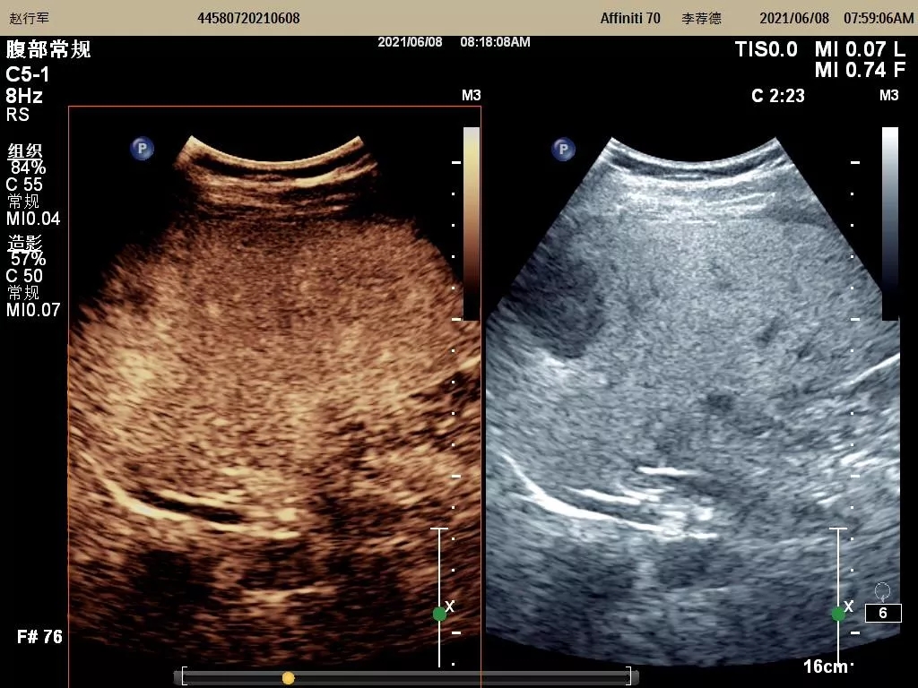
自我院功能检查科成功开展市内首例超声造影检查技术后,近期又开展了多例脏器(包括肝脏、甲状腺、乳腺、淋巴结等)超声造影术。该技术的全面成熟开展,标志着我院超声造影检查技术再上新台阶,必将进一步推动陇南地区超声医学专业的发展。


图为开展的肝脏超声造影检查
超声造影(Contrast-enhanced ultrasound,CEUS)又称声学造影(acoustic contrast),是利用造影剂使后散射回声增强,明显提高超声诊断的分辨力、敏感性和特异性的技术。超声造影能有效的增强心肌、肝、肾、脑等实质性器官的二维超声影像和血流多普勒信号,反映和观察正常组织和病变组织的血流灌注情况,已成为临床认可、应用广泛、有效进行疾病鉴别诊断的检查方法及手段。
图为开展的肝脏超声造影检查
目前国内普遍成熟使用及我院使用的超声造影剂为六氟化硫微气泡(声诺维),它是由惰性气体构成的2-5微米的微气泡,是纯血池造影剂,不进入组织间隙,其经外周静脉注射后,可通过肺循环到达全身各脏器及组织,检出低流量、低流速的血流信号,显示正常组织和异常组织的灌注差异。数分钟后微泡破坏,随呼吸排出。
超声造影技术优势:
2、安全无毒性:安全性好、无射线、过敏率为0.014%,反应发生率极低,不经过肝肾代谢,所以肝肾功能不全患者可安全使用;
3、造影剂在体内可快速自动清除(约15分钟左右清除完);
4、检查费用相对较低。


图为开展的甲状腺超声造影检查
超声造影技术的临床应用如下:
2、术前术中评估、术后评估疗效等:如肿瘤消融治疗后,可通过超声造影确认肿瘤是否完全灭活。肿瘤细胞、血管坏死灭活后造影剂无法灌注,消融区呈现无增强区。造影剂有填充表明治疗不完全,可追加治疗;
3、肿瘤非手术治疗(新辅助化疗和消融治疗)的疗效评估;
4、脏器所属区域转移性淋巴结和前哨淋巴结的诊断,引导脏器癌性肿块所属区淋巴结穿刺活检,准确评估有无淋巴结转移;
5、癌瘤术后复发病灶与瘢痕组织的鉴别诊断;
6、超声造影引导肿块穿刺活检术提高取材阳性率;
7、介入造影:胆管置管时可沿引流管打造影剂观察走向,判断置管是否成功等;
8、输卵管造影:通过观察造影剂走向,判断输卵管通畅与否。
温馨提示
1、必须持有我院常规超声检查诊断报告;
2、需超声造影医师评估;
3、需提前在功能检查科预约;
4、必须家属陪同;
5、必须本人及(或)家属同意并签署超声造影知情同意书。
预约联系电话:
功能检查科:0939-8258114
赵医师:18393540320


甘公网安备 62120202100170号

