党建之窗
>>更多党的二十届四中全会公报一图速览
市医院召开深入贯彻中央八项规定精神学习教育总结会议
市医院赴两当县人民检察院开展党建共建暨巡回医疗活动
市医院与陇南市森林消防支队签订合作协议,共促应急救援与医疗深度融合
市医院召开党纪学习教育总结会议
习近平:在学习贯彻习近平新时代中国特色社会主义思想主题教育工作会议上的讲话
市医院党委举行以课代训 对新一届支部委员开展党务工作培训
市医院党委举行以课代训 对新一届支部委员开展党务工作培训
市医院召开党建工作专题会,党委书记讲党课
〖抓执行促落实〗市医院西院区党支部携手北山社区党支部开展共筑健康家园义诊活动
市医院党委理论学习中心组召开第六次集体学习会
〖抓执行促落实〗市医院召开党风廉政建设暨行业作风建设工作专题会
“三抓三促”市医院机关党支部在行动
市医院党委召开2022年度民主生活会
市医院党委理论学习中心组召开学习会
〖医线前沿〗市医院神经外科一病区成功独立完成一例功能区脑膜瘤切除术
来源:时间:2020-11-25点击:1126次
【字体:大 中 小】
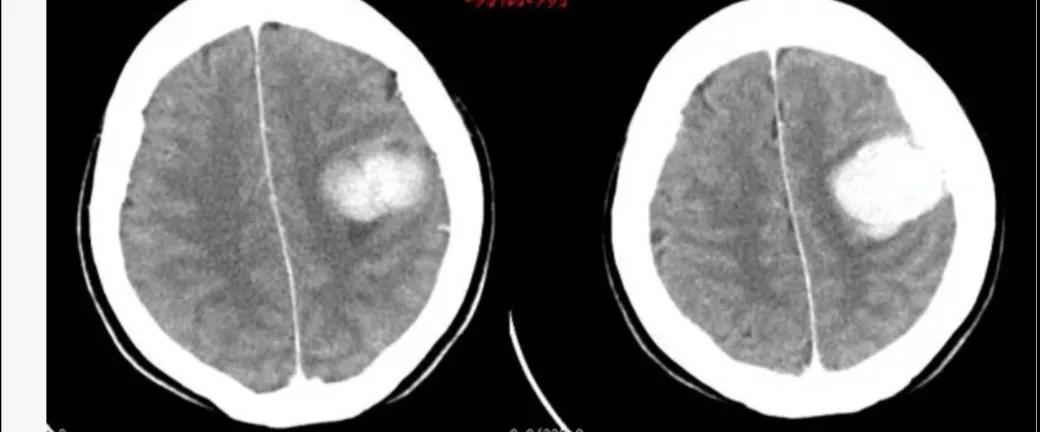
近日,我院神经外科收治了一例功能区脑膜瘤患者,经手术治疗后患者恢复理想,无神经功能损伤。此例手术的成功开展,标志着我院神经外科一病区在颅内肿瘤显微手术技术上又迈上一个新的台阶。
患者,58岁,渐进性头疼1年余,遂来我院就诊。入院后行头颅CT、MR示左侧顶叶占位性病变,经接诊医师李明详细说明病情后家属决定于我院进行手术治疗。

副主任周小荔积极组织全科医师慎密讨论,研究分析后认为病变系颅内重要功能区脑膜瘤。为避免损伤造成患者相关功能障碍,医师团队精心设计了手术方案,全面细致考虑了手术中可能出现的每一个环节,并进行了反复论证,最后确定了手术方案。明确手术方案后,由副主任医师李明主刀,主治医师谈小红、住院医师祁军强担任助手进行手术,肿瘤及被肿瘤侵蚀硬膜、颅骨成功切除,手术顺利。

此例手术的成功开展,得益于神经外科一病区团队技术的不断提升。副主任周小荔表示,科室将以此为动力,以精湛的医疗技术、优质的医疗服务为陇南百姓的健康保驾护航!目前,我科对各部位脑膜瘤具有成熟治疗水平,如有相关疾病患者请前来咨询就诊。




甘公网安备 62120202100170号

