党建之窗
>>更多党的二十届四中全会公报一图速览
市医院召开深入贯彻中央八项规定精神学习教育总结会议
市医院赴两当县人民检察院开展党建共建暨巡回医疗活动
市医院与陇南市森林消防支队签订合作协议,共促应急救援与医疗深度融合
市医院召开党纪学习教育总结会议
习近平:在学习贯彻习近平新时代中国特色社会主义思想主题教育工作会议上的讲话
市医院党委举行以课代训 对新一届支部委员开展党务工作培训
市医院党委举行以课代训 对新一届支部委员开展党务工作培训
市医院召开党建工作专题会,党委书记讲党课
〖抓执行促落实〗市医院西院区党支部携手北山社区党支部开展共筑健康家园义诊活动
市医院党委理论学习中心组召开第六次集体学习会
〖抓执行促落实〗市医院召开党风廉政建设暨行业作风建设工作专题会
“三抓三促”市医院机关党支部在行动
市医院党委召开2022年度民主生活会
市医院党委理论学习中心组召开学习会
【新业务 新技术】我院泌尿外科成功开展泌尿系结石孙氏末端输尿管软镜碎石术
来源:时间:2017-07-29点击:2211次
【字体:大 中 小】
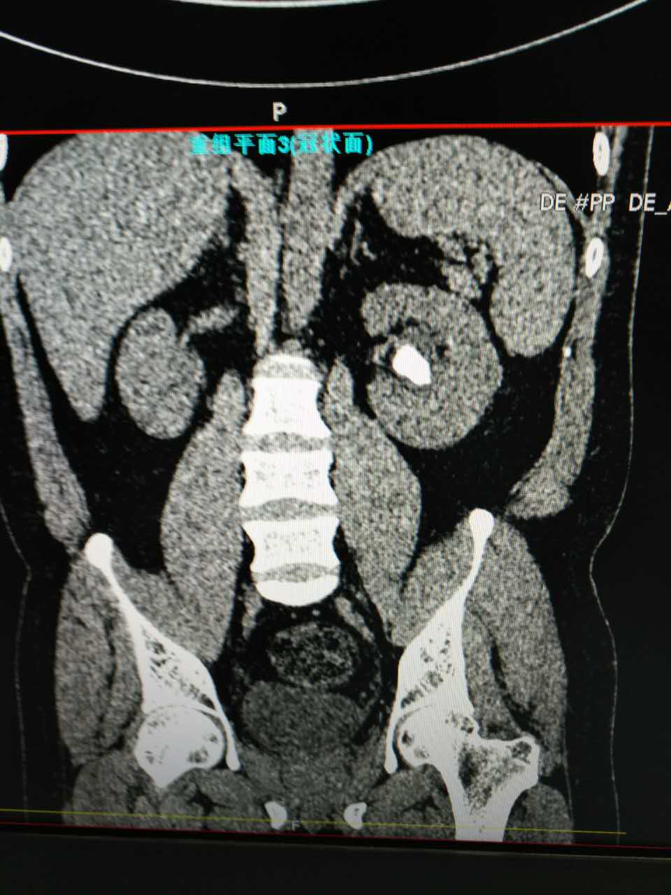
近日,我院泌尿外科成功开展孙氏末端输尿管软镜碎石术,顺利为一例复杂性肾结石患者碎石,手术过程顺利,目前患者已康复出院。
患者,青年男性,因肾结石先后就诊于多家医院,无明显效果后,经多方打听来我院泌尿外科李朝明主任处就诊。李主任在详细了解了患者病情后,最终决定行孙氏末端输尿管软镜碎石术,手术过程顺利,术后患者恢复良好,碎石后排石量达肾结石95%以上,碎石效果明显。
“软镜取石”是继药物排石、体外冲击波碎石、钬激光碎石、经皮肾镜碎石、EMS碎石清石系统之后所开展的又一项新技术。该手术的顺利开展为泌尿系统疾病的诊治提供了新的手段,进一步提升了本科室的微创技术水平,标志着我院泌尿外科在内镜治疗结石方面实现了新的突破,这一技术必将得到更为广泛的应用,为更多患者带来福音。
我院于2015年购置孙氏末端输尿管软镜,泌尿外科李朝明主任先后赴广州医学院附属第一医院、第二军医大学长海医院泌尿外科腔镜中心进修学习,于2015年8月开展输尿管软镜手术,目前已完成近50例,碎石成功率100%,无一例中转开放手术。

相关链接
孙氏末端输尿管软镜是一种用于上尿路疾病诊断和治疗的微创内镜,是由可弯曲的镜体末端与硬性的镜体及其后方操作手柄上控制镜体末端弯曲运动的操作键共同构成的新型输尿管镜。其末端部分具有可弯曲性,可向上、向下各弯曲180°,较传统软性输尿管镜有更大的可弯范围,便于进入各肾盏,消除硬性输尿管镜的视野盲区和操作盲区。
该镜兼具传统硬性输尿管镜和软性输尿管镜的优点,便于操作,无视野盲区和操作盲区,镜下视野更为清晰,利用人体天然的泌尿系统腔道,不在身体上做任何切口,是一种纯粹的泌尿外科腔镜微创手术。




孙氏末端输尿管软镜是一种用于上尿路疾病诊断和治疗的微创内镜,是由可弯曲的镜体末端与硬性的镜体及其后方操作手柄上控制镜体末端弯曲运动的操作键共同构成的新型输尿管镜。其末端部分具有可弯曲性,可向上、向下各弯曲180°,较传统软性输尿管镜有更大的可弯范围,便于进入各肾盏,消除硬性输尿管镜的视野盲区和操作盲区。
该镜兼具传统硬性输尿管镜和软性输尿管镜的优点,便于操作,无视野盲区和操作盲区,镜下视野更为清晰,利用人体天然的泌尿系统腔道,不在身体上做任何切口,是一种纯粹的泌尿外科腔镜微创手术。


甘公网安备 62120202100170号

