党建之窗
>>更多党的二十届四中全会公报一图速览
市医院召开深入贯彻中央八项规定精神学习教育总结会议
市医院赴两当县人民检察院开展党建共建暨巡回医疗活动
市医院与陇南市森林消防支队签订合作协议,共促应急救援与医疗深度融合
市医院召开党纪学习教育总结会议
习近平:在学习贯彻习近平新时代中国特色社会主义思想主题教育工作会议上的讲话
市医院党委举行以课代训 对新一届支部委员开展党务工作培训
市医院党委举行以课代训 对新一届支部委员开展党务工作培训
市医院召开党建工作专题会,党委书记讲党课
〖抓执行促落实〗市医院西院区党支部携手北山社区党支部开展共筑健康家园义诊活动
市医院党委理论学习中心组召开第六次集体学习会
〖抓执行促落实〗市医院召开党风廉政建设暨行业作风建设工作专题会
“三抓三促”市医院机关党支部在行动
市医院党委召开2022年度民主生活会
市医院党委理论学习中心组召开学习会
市内首例|放射科成功完成一例“经皮超选择性动脉灌注化疗术+栓塞术+食道支架置入术
来源:时间:2017-04-28点击:2086次
【字体:大 中 小】
近日,我院放射科运用介入微创技术完成一例“经皮超选择性动脉灌注化疗+栓塞术+食道支架置入术”。该项技术的成功开展,填补了我院在肿瘤介入治疗方面的空白。

患者,男性,入院前1年无明显诱因出现上腹部胀痛,食物吞咽哽咽。2016年9月曾行胃镜检查提示:1、胃底贲门癌2、胃窦多发溃疡。因入院前1周腹胀、乏力、进食困难明显加重收住医院。


胃镜检查报告单(2016年9月)


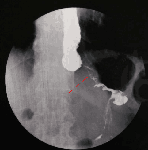
术前上消化道钡餐造影检查
(箭头所指部位明显狭窄,钡剂不能顺利通过)

术前肿瘤标志物检查
完善各项相关检查后,科主任唐小平对患者病情进行了详细评估、缜密讨论,建议行“食管支架置入术+经皮超选择性动脉灌注化疗术+载瘤动脉栓塞术”。


术前上消化道钡餐造影检查
(箭头所指部位明显狭窄,钡剂不能顺利通过)

术前肿瘤标志物检查



食道支架置入后(箭头所指为食道支架)
造影剂顺利通过支架进入胃内

科主任唐小平正在寻找血管入路

经皮选择性腹腔干造影
(黄色箭头所指为肿瘤主要供血动脉)

利用同轴微导管超选择肿瘤主要供血动脉
(图中箭头所指为肿瘤主要供血动脉)

栓塞完成后再次造影
提示肿瘤供血动脉分支明显减少,大部血流中断
此例手术的成功开展,标志着我院放射科介入微创手术治疗达到了一个新的水平。造影剂顺利通过支架进入胃内

科主任唐小平正在寻找血管入路

经皮选择性腹腔干造影
(黄色箭头所指为肿瘤主要供血动脉)

利用同轴微导管超选择肿瘤主要供血动脉
(图中箭头所指为肿瘤主要供血动脉)

栓塞完成后再次造影
提示肿瘤供血动脉分支明显减少,大部血流中断
相关链接
随着介入放射学的迅速发展,动脉灌注化疗和栓塞治疗已成为目前不能手术切除的晚期肿瘤病人较有效的治疗方法。体内的局部肿瘤病变多由动脉供血,传统的经静脉途径全身化疗,药物最终还是要经过动脉进入肿瘤局部才能发挥作用,要使“浸浴”癌组织的药物浓度成倍增加必须通过动脉给药。动脉内注射给药可选择性把药物直接导入肿瘤组织,通过动脉给药所得到的局部血药浓度高于同样剂量的静脉给药,从而可增加抗肿瘤效应并减轻毒性反应。动脉灌注化疗+栓塞治疗则可获得较长的时间、较高浓度的抗癌效果,不仅对瘤体有直接杀伤作用,同时动脉灌注区的黏膜亦有一定浓度的抗癌药物,能一定程度上促使原位癌或残存癌细胞消失。由于栓塞的肿瘤血管萎缩、纤维化甚至闭塞,使癌症引起的一系列症状得到控制。
动脉灌注化疗的优势:
1、微创、创口小:皮肤创口仅为2mm左右,患者痛苦少。
2、手术时间短:一般在30分钟内就可完成治疗。
3、副作用小:用药量小,局部药物浓度高,且不存在耐药性问题,副作用小。
4、靶向性(针对性)强:精确定位,精确治疗,对正常组织损伤小。
5、康复快:通常在术后12小时可正常活动,对那些年老、体弱的患者尤其适用。
6、采用局部麻醉,安全率高,治疗有效率90%以上。
7、动脉灌注化疗比静脉化疗具有肿瘤局部化疗药物浓度高,全身毒副作用小的优点。
适应症:
1、胸部恶性肿瘤,支气管肺癌、食管癌。
2、腹部恶性肿瘤,原发性肝癌、肝脏转移癌、胃肠道恶性肿瘤、胆道系统恶性肿瘤、胰腺癌。
3、泌尿系统恶性肿瘤。
4、妇科恶性肿瘤,如卵巢癌、子宫颈癌、子宫内膜癌等。
5、骨骼及软组织恶性肿瘤:骨肉瘤等骨恶性肿瘤、骨转移瘤和软骨组织恶性肿瘤。
禁忌症:
1、恶病质。
2、心、肺、肝、肾、骨髓及凝血功能异常者。
3、急性感染、发热者。
4、造影剂过敏者。


甘公网安备 62120202100170号

