党建之窗
>>更多党的二十届四中全会公报一图速览
市医院召开深入贯彻中央八项规定精神学习教育总结会议
市医院赴两当县人民检察院开展党建共建暨巡回医疗活动
市医院与陇南市森林消防支队签订合作协议,共促应急救援与医疗深度融合
市医院召开党纪学习教育总结会议
习近平:在学习贯彻习近平新时代中国特色社会主义思想主题教育工作会议上的讲话
市医院党委举行以课代训 对新一届支部委员开展党务工作培训
市医院党委举行以课代训 对新一届支部委员开展党务工作培训
市医院召开党建工作专题会,党委书记讲党课
〖抓执行促落实〗市医院西院区党支部携手北山社区党支部开展共筑健康家园义诊活动
市医院党委理论学习中心组召开第六次集体学习会
〖抓执行促落实〗市医院召开党风廉政建设暨行业作风建设工作专题会
“三抓三促”市医院机关党支部在行动
市医院党委召开2022年度民主生活会
市医院党委理论学习中心组召开学习会
放射科采用介入微创技术又成功完成数例食道支架置入术
来源:时间:2017-03-11点击:1872次
【字体:大 中 小】
食管支架是指通过介入手术方式,在X光机电视监视下,经输送器置入人体食道,起扩张并长期支撑食道作用的由金属丝编织而成的管状结构。系食管各种良恶性狭窄最简便和最有效的治疗方法。根据金属骨架材质可分为:镍钛记忆合金支架、铂金不锈钢丝支架;根据覆膜可分为:无覆膜、部分覆膜、全覆膜。

我院放射科开展食管肿瘤、食管狭窄介入微创食道支架置入术多年,完成了大量适应病例,积累了较为丰富的经验,成为科室一项成熟的介入治疗技术。日前,科室又集中成功完成数例中晚期食道癌患者支架的放置。以下患者均为临床收治入院病例,存在程度不等的进食障碍,部分患者流食亦不能通过,出现恶病质。在完善影像、病理及其它相关检查和术前准备后,放射科介入团队在大型血管造影介入诊疗系统(大C)下,放置适宜长度和材质的支架,患者术后进食改善明显,治疗效果满意,目前均已顺利出院。
1000MA大型血管造影介入诊疗系统(大C)
患者情况介绍

患者2,男,73岁,中下段食道癌放置支架前
(中下段食道癌支架置入术后6月,下端二次狭窄,行狭窄段再次支架置入术)、后对比图
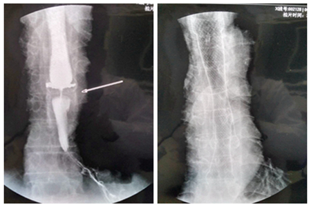
患者3,女,78岁,中段食道癌
放置支架前后对比图
患者4,男,61岁,中下段食道癌
放置支架前后对比图

患者5,女,66 ,食道远端及贲门癌
放置支架后对比图
相关链接


1000MA大型血管造影介入诊疗系统(大C)
患者情况介绍

患者1,男,83岁,下段食道癌
放置支架前、后(狭窄段较长,双支架置入术)对比图
放置支架前、后(狭窄段较长,双支架置入术)对比图

患者2,男,73岁,中下段食道癌放置支架前
(中下段食道癌支架置入术后6月,下端二次狭窄,行狭窄段再次支架置入术)、后对比图
患者3,女,78岁,中段食道癌
放置支架前后对比图
患者4,男,61岁,中下段食道癌
放置支架前后对比图

患者5,女,66 ,食道远端及贲门癌
放置支架后对比图
相关链接
食道支架植入术的适应症
1、恶性食管狭窄,包括无法切除的食管癌或贲门癌,食管切除术后吻合口局部复发和食管癌放疗后狭窄,以食管支架置入为首选;
2、各种原因引起的食管气管瘘、食管纵隔瘘、食管癌术后吻合口瘘和食管破裂,置入覆膜食管支架可迅速封闭瘘口,明显改善症状,75 %的患者术后即可恢复经口进食,其他治疗方法均难以替代;
3、各种原因引起的良性食管狭窄,主要是食管切除术后吻合口瘢痕性狭窄和化学性烧伤后瘢痕性狭窄,先行食管扩张术,再置入可回收覆膜食管支架,利用支架良好的自膨力量持续扩张狭窄的食管。4~6个月后,狭窄的食管稳定于一定口径时,回收置入的食管支架;
2、各种原因引起的食管气管瘘、食管纵隔瘘、食管癌术后吻合口瘘和食管破裂,置入覆膜食管支架可迅速封闭瘘口,明显改善症状,75 %的患者术后即可恢复经口进食,其他治疗方法均难以替代;
3、各种原因引起的良性食管狭窄,主要是食管切除术后吻合口瘢痕性狭窄和化学性烧伤后瘢痕性狭窄,先行食管扩张术,再置入可回收覆膜食管支架,利用支架良好的自膨力量持续扩张狭窄的食管。4~6个月后,狭窄的食管稳定于一定口径时,回收置入的食管支架;
4、贲门失弛缓症。
5、放疗前预置入目的是食管癌放疗前先放上支架再放疗,以避免放疗期间造成狭窄,这种病例放疗后需将支架取出,因此应选择可回收覆膜金属食管架,支该型支架对放射线的影响较小。
5、放疗前预置入目的是食管癌放疗前先放上支架再放疗,以避免放疗期间造成狭窄,这种病例放疗后需将支架取出,因此应选择可回收覆膜金属食管架,支该型支架对放射线的影响较小。
食道支架植入术的禁忌症
1、严重心肺功能不全、严重衰竭病人;
2、无自主吞咽功能,宜易引起误吸造成窒息者;
3、有严重食管静脉曲张或癌肿侵及大血管,食管扩张术易引起大出血者;
4、食管肿瘤侵蚀或压迫气管,致气管中、重度狭窄者应慎重放置食管支架,有加重气管狭窄和引起窒息的可能。
1、严重心肺功能不全、严重衰竭病人;
2、无自主吞咽功能,宜易引起误吸造成窒息者;
3、有严重食管静脉曲张或癌肿侵及大血管,食管扩张术易引起大出血者;
4、食管肿瘤侵蚀或压迫气管,致气管中、重度狭窄者应慎重放置食管支架,有加重气管狭窄和引起窒息的可能。


甘公网安备 62120202100170号

