党建之窗
>>更多党的二十届四中全会公报一图速览
市医院召开深入贯彻中央八项规定精神学习教育总结会议
市医院赴两当县人民检察院开展党建共建暨巡回医疗活动
市医院与陇南市森林消防支队签订合作协议,共促应急救援与医疗深度融合
市医院召开党纪学习教育总结会议
习近平:在学习贯彻习近平新时代中国特色社会主义思想主题教育工作会议上的讲话
市医院党委举行以课代训 对新一届支部委员开展党务工作培训
市医院党委举行以课代训 对新一届支部委员开展党务工作培训
市医院召开党建工作专题会,党委书记讲党课
〖抓执行促落实〗市医院西院区党支部携手北山社区党支部开展共筑健康家园义诊活动
市医院党委理论学习中心组召开第六次集体学习会
〖抓执行促落实〗市医院召开党风廉政建设暨行业作风建设工作专题会
“三抓三促”市医院机关党支部在行动
市医院党委召开2022年度民主生活会
市医院党委理论学习中心组召开学习会
〖医线前沿〗突破!市医院神经外科成功完成首例急性脑栓塞抽吸取栓术
来源:时间:2020-06-26点击:2178次
【字体:大 中 小】
神经介入作为神经外科亚专业,是神经外科重要分支,近年来越来越多的受到业内重视,以其住院时间短,创伤小,不失为脑血管病患者的最佳选择。然而头颈部脑脊髓血管内介入治疗均属4级手术,风险极高,难度极大,术中情况变化万千,即便在国内外较大的经验丰富的脑血管病诊疗中心,介入术中急转开刀甚至发生严重事件的病例也时有发生,这就对神经介入医师及其介入团队提出很高要求。
近日,我院神经外科二病区成功为一位患者实施了陇南及周边地区首例急性脑栓塞抽吸取栓术。该项技术的成功开展,填补了我院急性缺血性卒中治疗的空白,为广大脑血管病患者提供了更加安全、有效的治疗手段。

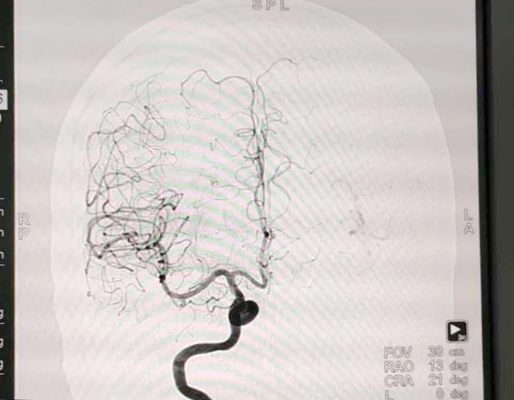
▲取栓前造影提示右侧大脑中动脉M1段远端闭塞
72岁的刘大爷,在家突然意识不清,出现偏瘫,失语的症状,家人发现后立即送往我院。紧急救援中心医师见患者失语、偏瘫,迅速进行病史询问、体格检查、化验及颅脑CT检查等措施,同时初步考虑急性脑栓塞。后经NIHSS(美国国立卫生研究院卒中量表)评分得出21分(正常人0分,最高值42分)。
刘大爷入院时已经错过最佳的静脉溶栓时间,根据患者的症状,神经外科二病区神经介入脑血管病诊疗团队快速评估病情,紧急讨论后决定为患者急行“脑血管造影+抽吸取栓术”。

▲术中情况
治疗脑梗塞主要有溶栓和取栓两种方式。对取栓而言,有相对较长的时间窗,即发病到开始取栓的时间段,最长可达24小时,但最好是控制在6小时之内,这样才能获得最好的治疗效果,而患者的发病时间恰好在这个时间范围内,为取栓赢得了宝贵的手术机会。经过积极的准备后,手术在康宏达主任的指导下,由脑血管病介入团队冉军民、姜正辕、卢永强主治医师顺利完成。术后,患者的右侧大脑中动脉开通,血流恢复,TICI 3级,NIHSS评分10分,症状改善,手术取得圆满成功。

▲左为抽取出的血栓,右为取栓术后造影
此次手术的成功标志着我院能够承担陇南市及周边地区急性缺血性卒中的急救任务,神经外科二病区此次率先独立自主完成神经介入血管内治疗,实现了甘肃南部地区神经介入领域之前仅仅能做造影检查到现在能够完成血管内治疗,从外请专家指导到独立自主完成的历史性跨越,也标志着今后我院能够给缺血性卒中脑血管病患者提供更优质规范的诊疗服务。
医学知识多一点
脑梗塞又称为缺血性脑卒中,是指因脑部血液供应障碍,缺血、缺氧所导致的局限性脑组织的缺血性坏死或软化。脑梗塞是目前中老年发病率比较高的疾病,这类人一般在发病前都有高血压、高血脂、糖尿病、以及房颤、颈动脉硬化等疾病,一般发病在45岁左右开始,65岁时发病率达到高峰,这个疾病的死亡率高达50%和致残率高达70%。随着医学技术的进步,神经介入技术的开展,目前该病的死亡率和致残率明显下降。


甘公网安备 62120202100170号

