党建之窗
>>更多党的二十届四中全会公报一图速览
市医院召开深入贯彻中央八项规定精神学习教育总结会议
市医院赴两当县人民检察院开展党建共建暨巡回医疗活动
市医院与陇南市森林消防支队签订合作协议,共促应急救援与医疗深度融合
市医院召开党纪学习教育总结会议
习近平:在学习贯彻习近平新时代中国特色社会主义思想主题教育工作会议上的讲话
市医院党委举行以课代训 对新一届支部委员开展党务工作培训
市医院党委举行以课代训 对新一届支部委员开展党务工作培训
市医院召开党建工作专题会,党委书记讲党课
〖抓执行促落实〗市医院西院区党支部携手北山社区党支部开展共筑健康家园义诊活动
市医院党委理论学习中心组召开第六次集体学习会
〖抓执行促落实〗市医院召开党风廉政建设暨行业作风建设工作专题会
“三抓三促”市医院机关党支部在行动
市医院党委召开2022年度民主生活会
市医院党委理论学习中心组召开学习会
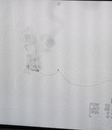
〖医线前沿〗市医院神经外科成功完成高难度硬脑膜动静脉瘘介入栓塞术

▲三维重建

▲术中情况
此类疾病常规开刀手术无法完成,必须通过神经介入血管内治疗,和家属沟通后,在外请专家指导下,在介入科、手术麻醉科的大力协助下,神经外科二病区神经介入脑血管病诊疗团队顺利为患者实施手术,手术过程顺利,术后造影提示眼动脉血流缓慢但视网膜中央动脉血流通畅,视网膜染色正常,视力正常,为防止眼动脉血栓闭塞视网膜中央动脉,给予低分子肝素钙皮下注射。术后患者症状即刻消失,现正继续后续治疗。

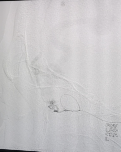
▲从左到右:术后右侧颈内动脉正位造影、术后右侧颈内动脉侧位造影
神经外科二病区在我院先行开展了脑血管造影检查,此次又率先开展神经介入治疗,不仅实现了陇南市及周边地区之前仅仅能做造影检查到现在能够完成介入治疗的重大跨越,而且填补了我市及周边地区介入治疗的空白,也标志着我市乃至甘肃南部地区神经介入发展进入新时代。
脑血管病,泛指脑部血管的各种疾病,包括脑动脉粥样硬化、血栓形成、狭窄、闭塞、脑动脉瘤、颅内血管畸形、脑动静脉瘘等,其共同特点是引起脑组织的缺血或出血性意外,导致患者的残废或死亡,发病率占神经系统总住院病例的二分之一。
神经外科二病区神经介入脑血管诊疗团队在康宏达主任带领下,目前能独立自主完成以下诊疗 :全脑血管造影;全脊髓血管造影;急性脑栓塞的静脉溶栓、动脉溶栓、机械取栓;颈动脉狭窄、夹层,锁骨下动脉狭窄、夹层,椎动脉狭窄、夹层,以及颅内血管狭窄及夹层的球囊扩张、支架置入、血管成型;脑出血后脑血管痉挛的血管内治疗;颅内各部位动脉瘤弹簧圈栓塞;颅内各部位动脉瘤开颅夹闭。即将独立开展的诊疗项目:颈动脉内膜剥脱;动静脉畸形、硬脑膜动静脉瘘、直接颈内动脉海绵窦漏的生物胶介入栓塞;急慢性脑动脉血管闭塞脑梗死的血管开通手术;静脉窦血栓形成的介入溶栓、球囊机械碎栓、产褥期脑血管病的诊断治疗;烟雾病的造影诊断及颅内外血管搭桥;脊髓血管畸形、硬脊膜动静脉漏的介入治疗及开刀手术;小儿脑脊髓血管的诊断及治疗;头颈部、脑脊髓富血供肿瘤的术前栓塞;大动脉炎的诊断及治疗;遗传性及先天性脑血管病的诊断及治疗。


甘公网安备 62120202100170号

