党建之窗
>>更多党的二十届四中全会公报一图速览
市医院召开深入贯彻中央八项规定精神学习教育总结会议
市医院赴两当县人民检察院开展党建共建暨巡回医疗活动
市医院与陇南市森林消防支队签订合作协议,共促应急救援与医疗深度融合
市医院召开党纪学习教育总结会议
习近平:在学习贯彻习近平新时代中国特色社会主义思想主题教育工作会议上的讲话
市医院党委举行以课代训 对新一届支部委员开展党务工作培训
市医院党委举行以课代训 对新一届支部委员开展党务工作培训
市医院召开党建工作专题会,党委书记讲党课
〖抓执行促落实〗市医院西院区党支部携手北山社区党支部开展共筑健康家园义诊活动
市医院党委理论学习中心组召开第六次集体学习会
〖抓执行促落实〗市医院召开党风廉政建设暨行业作风建设工作专题会
“三抓三促”市医院机关党支部在行动
市医院党委召开2022年度民主生活会
市医院党委理论学习中心组召开学习会
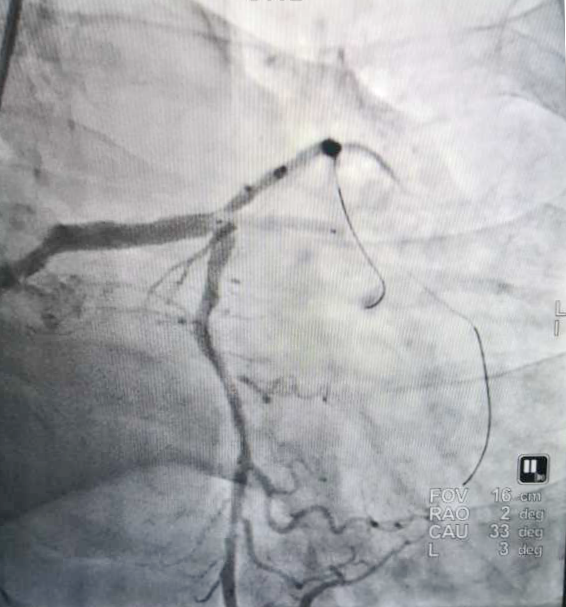
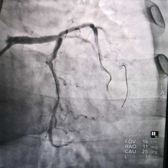
〖微创技术〗开启介入无植入时代——市医院心内科一病区成功开展药物球囊冠状动脉成形术
近日,我院心内科一病区团队成功为一位支架术后再次发生新病变患者实施了经皮冠状动脉药物球囊扩张成形术。该项技术的成功开展,填补了我院心脏病微创技术方面的空白,为广大心脏病患者提供了更加安全、有效的治疗手段。
72岁的何大爷,患高血压多年,爬楼梯或者运动后就会出现胸闷、胸痛、气促等不适。2005年、2011年他分别在知名医院植入了冠脉支架后,胸闷、气短等症状仍时有发作。最近,他开始频繁出现上诉症状,且活动耐量明显降低。儿女看着老人痛苦的样子心里十分着急,为求进一步治疗,就赶紧带着何大爷前来寻求帮助。
此次药物球囊冠状动脉成形术的成功开展,标志着我院介入治疗水平又上了新的台阶,不仅极大地改善心脏病患者预后,提高患者的生活质量,而且掀开了心脏病微创介入治疗的新篇章。随着该技术的广泛推广,今后患者不必再有“看病难”的担心和疑虑,心内科一病区将会以负责的态度和精湛的技术,更好地为广大心脏病患者服务。
医学小科普
经皮冠状动脉药物球囊扩张成形术,指经皮穿刺周围动脉将带有药物涂层球囊(DCB)的导管送入冠状动脉到达狭窄节段,扩张球囊,使狭窄管腔扩大,血流畅通,微小的药物载体覆盖在血管壁上,保证药物的持续释放,符合最佳药物代谢。支架内再狭窄是药物球囊首选适应症;其次,血管越细,植入支架后发生血栓和再狭窄风险较高时也适用于DCB;若出现分叉血管,也可通过边支药物球囊扩张,主支植入支架解决;对于部分高血压老年患者,无法耐受长期服药时,和一些外科手术患者需进行短期心脏调整,皆优选DCB。
相较于传统支架及药物涂层支架,DCB能够实现更好的侧支血管的血管开通;减少迟发型支架内血栓形成的风险;保留原有的解剖结构,尤其是一些小血管和血管分叉;广泛用于一些不能或不便于置入支架的病变处,比如一些小血管、支架内再狭窄以及一些分叉病变中侧支血管的治疗;且在一些扭曲的动脉血管中运送更加安全。


甘公网安备 62120202100170号

