党建之窗
>>更多党的二十届四中全会公报一图速览
市医院召开深入贯彻中央八项规定精神学习教育总结会议
市医院赴两当县人民检察院开展党建共建暨巡回医疗活动
市医院与陇南市森林消防支队签订合作协议,共促应急救援与医疗深度融合
市医院召开党纪学习教育总结会议
习近平:在学习贯彻习近平新时代中国特色社会主义思想主题教育工作会议上的讲话
市医院党委举行以课代训 对新一届支部委员开展党务工作培训
市医院党委举行以课代训 对新一届支部委员开展党务工作培训
市医院召开党建工作专题会,党委书记讲党课
〖抓执行促落实〗市医院西院区党支部携手北山社区党支部开展共筑健康家园义诊活动
市医院党委理论学习中心组召开第六次集体学习会
〖抓执行促落实〗市医院召开党风廉政建设暨行业作风建设工作专题会
“三抓三促”市医院机关党支部在行动
市医院党委召开2022年度民主生活会
市医院党委理论学习中心组召开学习会
〖医线前沿〗市医院普外科顺利完成一例胆囊切除术+胆道镜下胆总管探查术

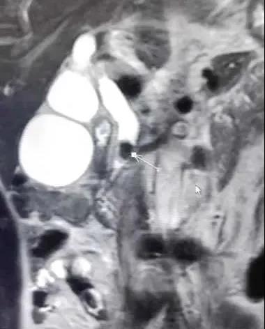
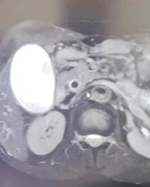
▲MRCP图片
患者女性,53岁,因“持续性上腹部疼痛不适3天”为主诉入住普外科,入院后,科室主任张永全立即召集全科医师对患者进行详细检查,并对病情进行了分析讨论,最终诊断为:胆囊结石伴急性胆囊炎、胆总管扩张。考虑到胆总管扩张原因较多,为进一步明确诊断,在得到患者及家属同意后,决定由张主任主刀,李金科副主任医师、徐亚文主治医师、崔仁杰住院医师协助在全麻下为患者行胆囊切除术+胆道镜下胆总管探查术,手术过程顺利,患者术后安返病房,目前恢复良好。
胆道镜的技术应用分类
1、术中胆道镜:用手术切开胆总管,经胆总管切口插入胆道镜进行检查和治疗。
2、术后胆道镜:指胆道手术后通过T管窦道或胆管空肠吻合术后空肠盲袢窦道及胆囊造瘘术后窦道而进入胆道进行检查和治疗。
3、经皮经肝胆道镜(术前胆道镜):指非手术方法先行经皮经肝胆道引流(PTCD),然后再行窦道扩张术,待窦道被扩张至能容纳纤维胆道镜进入胆道时,在进行纤维胆道镜检查和治疗。
胆道镜适应症
肝内外胆管结石;
胆管狭窄或胆肠吻合口狭窄;
胆道占位性病变;
胆道畸形;
胆道内蛔虫及异物;
肝移植术后胆道并发症等。
胆总管扩张原因
胆总管结石、胆管肿瘤、胰头癌、急慢性胰腺炎、胆道蛔虫、先天性胆总管囊状扩张,oddi氏括约肌狭窄、胆囊切除术后代偿性扩张、老年性生理扩张、先天因素等。


甘公网安备 62120202100170号

