党建之窗
>>更多党的二十届四中全会公报一图速览
市医院召开深入贯彻中央八项规定精神学习教育总结会议
市医院赴两当县人民检察院开展党建共建暨巡回医疗活动
市医院与陇南市森林消防支队签订合作协议,共促应急救援与医疗深度融合
市医院召开党纪学习教育总结会议
习近平:在学习贯彻习近平新时代中国特色社会主义思想主题教育工作会议上的讲话
市医院党委举行以课代训 对新一届支部委员开展党务工作培训
市医院党委举行以课代训 对新一届支部委员开展党务工作培训
市医院召开党建工作专题会,党委书记讲党课
〖抓执行促落实〗市医院西院区党支部携手北山社区党支部开展共筑健康家园义诊活动
市医院党委理论学习中心组召开第六次集体学习会
〖抓执行促落实〗市医院召开党风廉政建设暨行业作风建设工作专题会
“三抓三促”市医院机关党支部在行动
市医院党委召开2022年度民主生活会
市医院党委理论学习中心组召开学习会
〖临床病理再出新招〗市医院肾病科与病理科成功开展肾脏病理特殊染色新技术
来源:时间:2019-12-05点击:1581次
【字体:大 中 小】

( 张教授、王主任、刘主任带领两科医护人员前期制片)
在医院的领导与支持下,在青岛市市立医院肾内科帮扶专家张扬教授的指导下,我院肾病科主任刘永峰与病理科主任王强带领科室医护人员成功开展了肾脏病理特殊染色新技术,成为我市唯一一家掌握此项技术的医院。技术得以开展可谓是一波三折,特别是前期的准备工作,两科在人手紧缺的情况下留出专人负责染色过程,经过反复实验,终于取得了满意的结果。

肾活检病理学是用不同的方法取出一点活体肾组织进行病理检查,从而研究肾脏疾病发生的原因、机制、发展规律以及疾病过程中机体的形态结构、功能代谢变化和病变转归的一门医学课程,是肾脏病理学的一个重要组成部分,也是病理学的一个重要分支。现代病理学中免疫组织化学技术、电子显微镜技术以及其它细胞、分子生物学技术应用日益广泛,但由于这些技术要求一定的实验条件、所需试剂价格较为昂贵,对于一部分病人以及医院是比较难以接受的。而组织化学技术无需复杂的实验条件、昂贵的试剂,操作又较为简单,在临床病理学诊断中具有很重要的应用价值。
(在张扬教授的指导下病理科王主任、肾病科刘主任共同阅片)
以往我院行肾穿刺活检术后需将标本送去广州,不仅检查价格高,而且会给一部分肾疾病的诊疗带来时限性,给患者增加负担。此次特殊染色的成功开展,不仅为我市及周边地区肾脏病患者带来了福音,减轻了患者负担,而且还将极大地提升我院科研实力,更好地培养医师科研临床思维,进一步促进医研结合,为把我院建设成为陇南及周边区域医疗中心增砖添瓦!
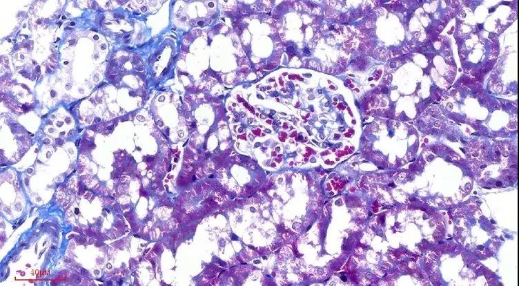
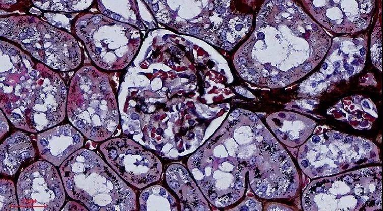
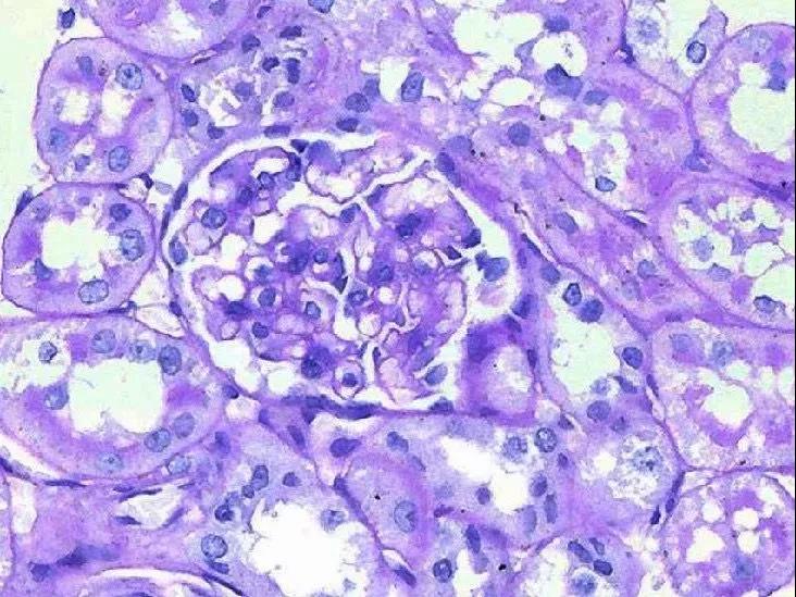
特殊染色切片扫描

Masson染色

六胺银染色

PAS染色
供稿:肾病科


甘公网安备 62120202100170号

